If you’ve ever looked in the mirror and wondered how losing teeth might change your life, you’re definitely not alone. It’s something that’s happened to people I care about, and I’ve seen firsthand the difference it makes—not just to their confidence, but to simple joys like sharing a hearty laugh or enjoying a favorite meal. That’s why innovative dental solutions, like zygomatic implants, have become such game-changers in Delhi. But let’s talk honestly: what does the journey cost, and how do you make sure it’s money well spent?
Table of Contents
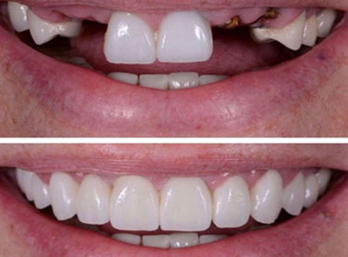
Discovering Zygomatic Implants: Hope Beyond Bone Loss
Traditional dental implants are great—unless your jaw bone isn’t quite up to the task. Maybe you’ve experienced significant bone loss, or a dentist told you that bone grafting would be the only way. That’s where zygomatic implants step in. Unlike ordinary implants anchored to the jaw, these are gently anchored to your cheekbone (zygoma), offering stability even when jaw bone isn’t sufficient. I’ve heard stories from folks who thought they’d never eat confidently again, only to find that zygomatic implants brought back their smile and peace of mind.
If you’re curious about what’s involved or want details tailored to your own needs, I recommend checking out the dedicated implant services page at 32 Strong Dental Implant Services—the information there is clear and patient-friendly, something I always appreciate.
The Real Zygomatic Implant Cost in Delhi: No Surprises
Nobody likes walking into a clinic with only half the story—especially when it comes to what a procedure really costs. In Delhi, zygomatic implant costs start around ₹90,000 per implant, but there’s a bit more to the tale. A reputable clinic should outline this for you clearly: you’re paying for comprehensive diagnostics (like 3D scans and CBCT), top-quality implant materials, surgery by qualified experts, prosthetic teeth crafted for your comfort, and all-important follow-ups so you’re never left guessing.
What sets some clinics apart is transparency. I once visited a friend at 32 Strong Dental Clinic, and remember their team explaining every step of the value—down to aftercare and guarantees. That sort of patient-first approach makes a difference, especially when you’re weighing options for something as personal as your smile.
Want to deep-dive into the patient experience? Stories and outcomes from actual patients can be found on the testimonial page, where real people share how a great outcome changed their daily life.
Making Your Choice: More Than Just Price
Numbers matter—but so does trust. The right clinic for zygomatic implants in Delhi isn’t just about the lowest cost. It’s the place that truly listens to your concerns, communicates honestly, and puts safety first. Advanced technology matters, sure, but kindness and patience go even further.
Having heard glowing reviews (and seen those grateful smiles myself), I know why many recommend 32 Strong Dental Clinic. Their maxillofacial surgeons are not just experts; they’re the sort of people who take time to answer questions, even those anxious ones you were worried were “silly.” And their use of technology—like advanced intraoral cameras—means you see exactly what they see, turning medical jargon into a shared understanding.
Dental Tourism in Delhi: Saving Costs While Gaining Experiences
If you’re considering travelling for treatment, Delhi offers incredible value. Visitors from across the globe (think UK, USA, Australia, and the Middle East) are drawn by the combination of expertise, savings, and hospitality. Many save up to 70% compared to prices at home, while still receiving world-class care. It’s not just about the procedure but the whole experience—some clinics even help coordinate travel and sightseeing, making your medical trip something to remember for all the right reasons.
For those planning to come from outside India, take a look at the dental tourism information—it’s got practical guides on everything from travel logistics to making the most of your time in Delhi.
Preparing for Zygomatic Implants: Your First Step
Ready for your first consultation? Here’s the friendly advice: bring your medical history, note any allergies, and don’t mask pain with medication right before visiting, as a clear diagnosis matters. A good clinic won’t rush; instead, they’ll walk you through digital scans, personalized treatment, and help you understand every step.
Those post-surgery months? They’re just as important. That’s why clinics like 32 Strong include scheduled follow-ups, oral hygiene tips, and staff who are just a call away if you need reassurance or a quick answer. It’s healthcare that goes beyond the chair.
Investing in Your Smile—The Best Kind of Investment
Choosing zygomatic implants isn’t just about a new smile—it’s reclaiming the little things, from sharing meals with loved ones to regaining confidence you thought you’d lost. If you want an experience that’s transparent, caring, and personalized, explore what the team at 32 Strong Dental Clinic offers. Their reputation and patient stories speak for themselves, reminding us all: dental care is about people, not just procedures.
